
od 160 zł

90 zł

90 zł

60 zł

220 zł

130 zł

Pracownie radiologii stomatologicznej i laryngologicznej DIAGDENT to sieć nowoczesnych placówek na terenie Warszawy, Wrocławia, Łodzi, Gdańska i Gdyni.
Oferujemy wysokiej jakości badania diagnostyczne, takie jak: RTG punktowe, pantomogram, cefalometria, tomografia CBCT, cyfrowy skan zębów oraz dentystyczny protokół fotograficzny.
Charakteryzuje nas indywidualne podejście do pacjentów oraz ścisła współpraca z lekarzami. Nasz wyszkolony i doświadczony zespół elektroradiologów pracuje na najnowszym dostępnym sprzęcie diagnostycznym wiodącej firmy Carestream. W DIAGDENT jesteś zawsze w dobrych rękach!
Czytelne badania wysokiej jakości
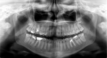
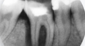
Efektywne leczenie stomatologiczne w większości przypadków wymaga dokładnej diagnostyki, opierającej się na zobrazowaniu stanu uzębienia, kości szczęki czy żuchwy. Jednym z popularnych sposobów diagnostyki stomatologicznej jest zdjęcie pantomograficzne, czyli pantomogram. Pozwala ono uzyskać precyzyjny obraz struktur, z odwzorowaniem wszelkich krzywizn i ewentualnych nieprawidłowości. Zaawansowaną diagnostykę zapewnia tomografia komputerowa CBCT, która oferuje obrazowanie w technologii 3D.
Indywidualne podejście do każdego pacjenta
Nie istnieją dwa identyczne przypadki uzębienia, dlatego każdego pacjenta traktujemy indywidualnie. Dzięki takiemu podejściu, pacjenci DIAGDENT mają pewność, że ich badania będą wykonywane i analizowane z należytą dokładnością. O komfort podczas wizyty zadbają wykonujący badania elektroradiolodzy, a także pomocni pracownicy działu obsługi klienta.
Konkurencyjne ceny
Stale podnosimy kwalifikacje naszego zespołu i regularnie inwestujemy w kosztowny, nowoczesny sprzęt diagnostyczny. Mimo to od lat oferujemy jedne z najniższych cen na rynku. W cenie badania pacjent otrzymuje jego wynik na nośniku CD lub na kliszy (tylko badania 2D) oraz on-line na Portalu Pacjenta Diagdent. Atrakcyjne ceny badań oraz dogodne lokalizacje wszystkich naszych pracowni sprawiają, że stomatologiczne badania radiologiczne są powszechnie dostępne dla mieszkańców Warszawy, Wrocławia, Łodzi, Gdańska i Gdyni.
Szybkie zapisy i krótki czas oczekiwania na wyniki
Dbamy o czas naszych pacjentów! Wykonujemy badania w ekspresowym tempie jednocześnie czuwając nad ich najwyższą jakością i troszcząc się o komfort pacjentów. Czas od momentu przybycia pacjenta do pracowni do otrzymania wyniku badania takiego, jak np. pantomogram, to zaledwie 10-15 min. Dzięki temu, że DIAGDENT posiada aż siedem pracowni na terenie całej Warszawy dojazd do nas z dowolnego miejsca w stolicy nie powinien zająć dłużej niż 15-20 minut. Świetna lokalizacja wrocławskiej pracowni DIAGDENT w dzielnicy Stare Miasto sprawia, że do naszej placówki wygodnie i szybko dojadą wszyscy mieszkańcy Wrocławia. Pracownie Łódź Bałuty oraz Łódź Górna są znakomicie skomunikowane ze wszystkimi rejonami Łodzi oraz aglomeracji łódzkiej. Nasza placówka w Gdańsku znajduje się w dzielnicy Wrzeszcz w pobliżu przystanku SKM i wielu linii komunikacji miejskiej. Pracownia w Gdyni zlokalizowana jest w Śródmieściu, tuż obok dworca PKP Gdynia Główna.
Komfortowa, przyjazna i bezpieczna obsługa pacjentów
W DIAGDENT dbamy o komfort pacjentów już od momentu wybrania numeru naszej infolinii. Nasi pracownicy zawsze chętnie służą pomocą. Wychodzimy z założenia, że najwyższa jakość badań radiologicznych powinna iść w parze z najwyższą jakością obsługi. Dlatego dużo uwagi przywiązujemy do satysfakcji i zadowolenia wszystkich, którzy nas odwiedzają. Starannie dobieramy kadrę do naszych placówek i uczestniczymy w szkoleniach dotyczących przyjaznej obsługi pacjentów.
Umów się na wizytę
i przekonaj się sam!
Zadzwoń
733 70 90 90
DIAGDENT SASKA KĘPA
(Praga Południe)
ul. Brazylijska 13
03-946 Warszawa
111, 123, 141, 143, 151, 182, 188, 502, 514, 520, 523, 525
DIAGDENT BIAŁOŁĘKA
(okolice Factory Annopol)
ul. Białołęcka 166D
03-253 Warszawa
104, 204
DIAGDENT URSYNÓW
(okolice
Stokłosy)
Pasaż Ursynowski 1/U6
02-782 Warszawa
179, 192, 193, 209, 239, 401, 809, 815
Stokłosy: M1
DIAGDENT WŁOCHY
(okolice
Warszawa Włochy)
ul. Zdobnicza 8
02-439 Warszawa
127, 129, 189, 194, 228
PKP W-wa Włochy
DIAGDENT BIELANY
(okolice
Młociny)
ul. Przy Agorze 11a
01-960 Warszawa
104, 204
DIAGDENT TARCHOMIN
(przy Światowida)
ul. Książkowa 9A
03-134 Warszawa
118, 211, 509, 518
2, 17
DIAGDENT CENTRUM
(okolice
RONDO ONZ)
ul. Emilii Plater 36
00-698 Warszawa
106, 160, 174, 178
1, 9, 10, 11, 17, 33
Rondo ONZ: M2
DIAGDENT WROCŁAW
(Stare Miasto)
ul. Sądowa 14/lok.1A
50-046 Wrocław
122, 144, 240, 246, 251, 246, 250
4, 5, 11, 14, 15, 21, 22, 23
DIAGDENT ŁÓDŹ BAŁUTY
(przy Manufakturze)
ul. Lutomierska 46
91-004 Łódź
58B, 59, 65A, 65B, 73, 96
2, 3, 11
DIAGDENT ŁÓDŹ GÓRNA
(Park Handlowy Squer)
ul. Jana Kilińskiego 298
93-160 Łódź
59, 69B, 70, 72A, 92A, 92B
2
DIAGDENT GDAŃSK
(
Politechnika)
ul. Stanisława Wyspiańskiego 2
80-434 Gdańsk
283
2, 3, 4, 5, 8
SKM Gdańsk Politechnika
Parking dla pacjentów
DIAGDENT GDYNIA
(
Gdynia Główna)
pl. Konstytucji 1
81-354 Gdynia
21, 22, 23, 24
103, 105, 109, 125, 140, 147, 150, 160, 172, 182, 190, 500, 510
PKP Gdynia Główna

![]()
![]()
![]()
![]()
![]()
![]()
